Un grupo de científicos costarricenses, liderados por profesionales de la Universidad de Ciencias Médicas (Ucimed) describieron el ciclo de vida de parásitos que habían descubierto en los últimos tres años en nuestro país.
Se trata de los parásitos Eimeria melanomytis, Eimeria rebambensis y Eimeria caliginosa , los cuales se alojan en el tracto intestinal del ratón de campo ( Melanomys caliginosus ).
"Cuando uno descubre un nuevo animal, primero reporta su existencia, pero después de eso viene todo un trabajo para describir todo su ciclo de vida, desde que nace hasta que muere, y eso toma más tiempo, pero es un paso muy importante a nivel científico", explicó Misael Chinchilla, coordinador de la investigación.
LEA MÁS: Identifican 10 parásitos más transmitidos por alimentos
En esta investigación participaron Idalia Valerio y Juan Carlos Vanegas, de la Ucimed; Gustavo Gutiérrez, Ronald Sánchez, Liz Brenes y Sofía Soto de la Universidad de Costa Rica (UCR), Carmen Niehaus de la Univeisidad Veritas y Donald Duszynski de la Universidad de Nuevo México en Estados Unidos.
Según comentó Chinchilla, su primer objetivo era encontrar parásitos y bacterias que puedan "colaborar" con la muerte y eventual extinción de especies animales. En este sentido, han estudiado monos, felinos y roedores.
"Al analizar roedores nos encontramos con parásitos que pueden hacerle daño al ser humano", expresó el especialista.
Los ciclos de vida de estos parásitos van desde los cinco días hasta el mes, y entenderlos ayuda no solo a comprender mejor a este organismo, si no a la forma de acción, y, a largo plazo podría contribuir con nuevos medicamentos.
Con este propósito, la Ucimed ya tiene una línea de investigación que busca probar en animales fármacos contra parásitos.
El estudio
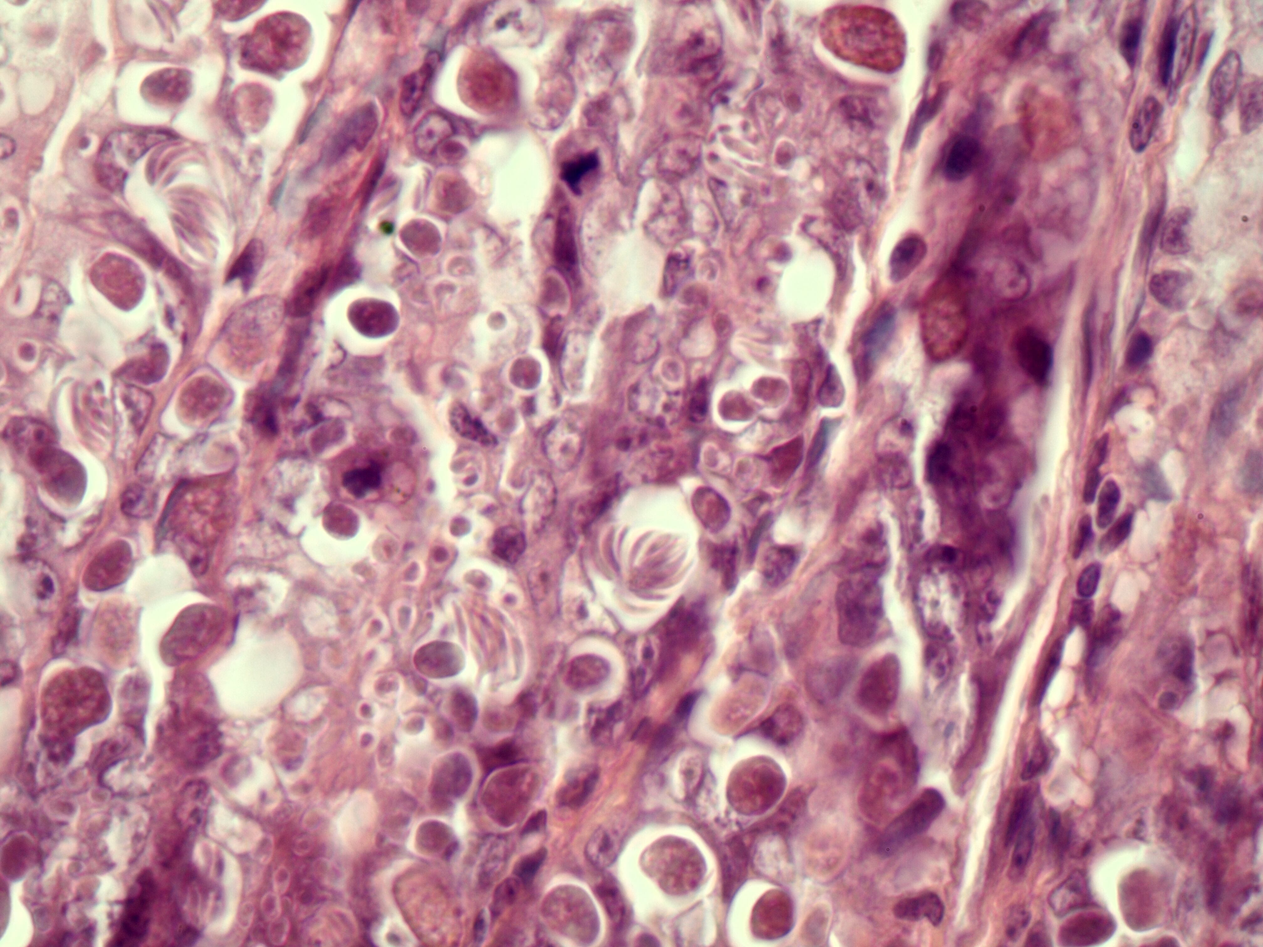
Este no es un estudio que se realiza en poco tiempo. Chinchilla afirma que se deben medir en microscopio 20 ángulos diferentes de cada parásito durante al menos cinco días consecutivos.
LEA MÁS: Cientificos ticos descubren tres nuevos parásitos
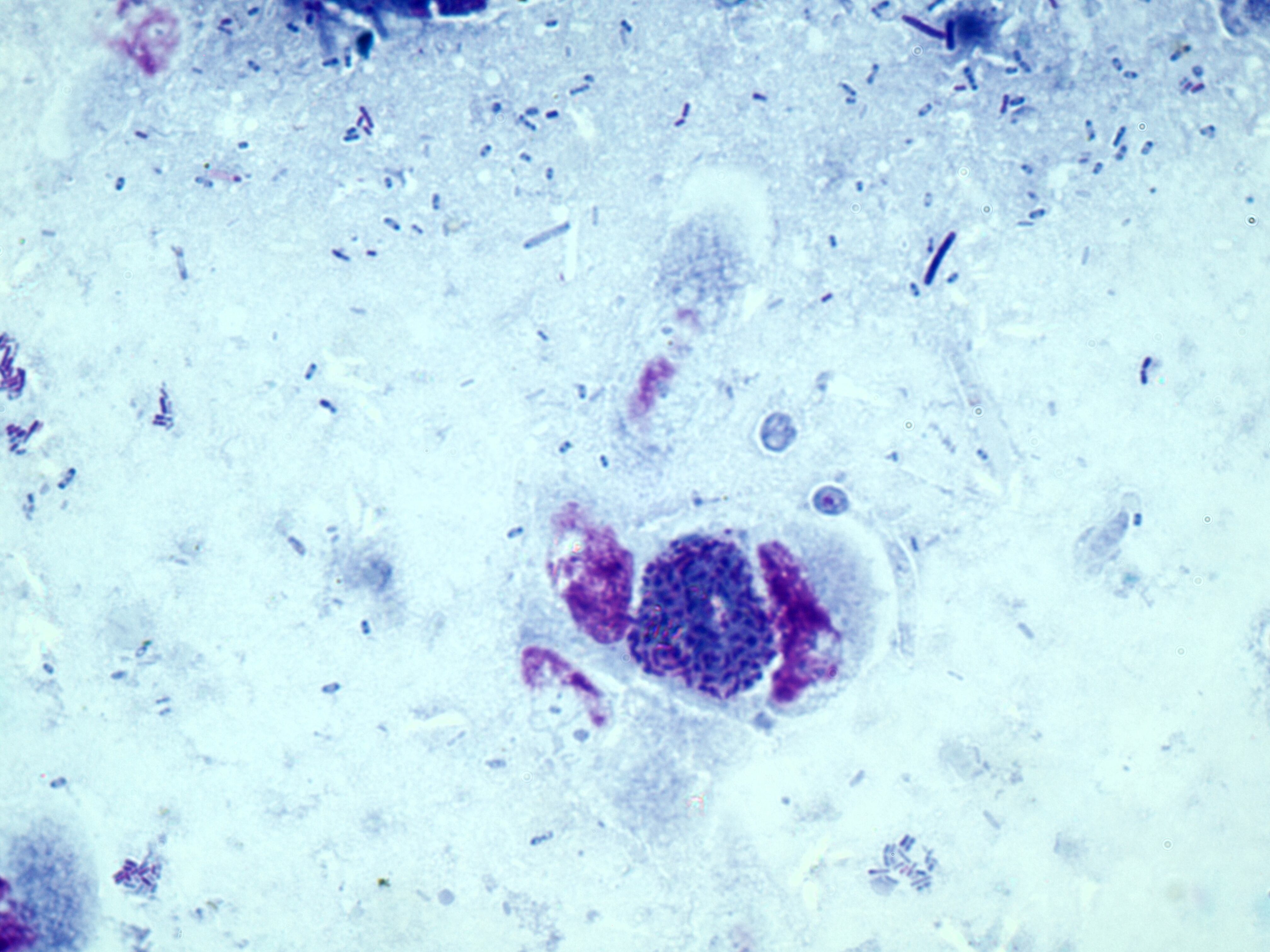
"Estos parásitos se reproducen en las células epiteliales del intestino delgado. Al reproducirse, rompen las células, el roedor enferma y hasta muere. Decidimos estudiar el ciclo de vida para ver cómo el animalito se infecta y cómo es el proceso de la enfermedad", añadió.
El ciclo de vida comienza en el momento de la infección y termina cuando el animal se libra de esta o muere.
"Cuando el animalito se infecta se liberan una serie de estructuras llamadas esporocitos que penetran en las células e inician una reproducción", indicó el especialista.
En este momento, de acuerdo con el investigador, el parásito toma una forma de "amebita" que se reproduce dentro de la célula. Esta fase activa recibe el nombre de tropozoito.
Posteriormente, se transforma en tres tipos de estructuras llamadas esquizontes (palabra derivada de "esquizo" que significa "división" en griego).
Los esquizontes son "células madre" que dan origen a hijas llamadas merozoitos. Cada uno de los merozoitos inicia un ciclo sexual con partes femeninas y masculinas que se unen y forman un cigoto.
Esta forma de cigoto recibe el nombre de ooquiste y toma todo el ADN y ARN de la célula del roedor que invadió. La membrana celular se destruye y el oquiste sale hacia otra célula para iniciar de nuevo un ciclo de vida.
LEA MÁS: Ticos probarán en ratones fármacos contra parásitos
"Cada ooquiste tiene ocho esporozoites y cada uno penetra en una célula diferente. Debemos tomar en cuenta que en cada infección puede haber unos 50.000 ooquistes en este proceso, y por eso, en ocasiones, resulta letal", subrayó Chinchilla.
Los resultados de estas observaciones del ciclo de vida fueron publicadas en las revistas Systematic Parasitology, Revista Ibero-Latinoamericana de Parasitología, y Journal of Parasitology.
¿Qué sigue? Chinchilla explicó que las exploraciones para describir nuevos parásitos continúan, así como el buscar posibles nuevos medicamentos contra ellos.
LEA MÁS: Bacterias, virus y parásitos en cuencas alertan a expertos






